
Dental Filling Benefits, Drawbacks, Procedure, Pictures
If you have cavities in your tooth, your dentist may recommend temporary or permanent Dental Filling to help further tooth decay, prevent infection and strengthen the teeth.
Dental restoration uses temporary Dental Filling replaced with many types of materials, mostly composite resin material, but the most widely used type of tooth colored composite resin replacement filling is silver amalgam fillings.
Historically amalgam was the most commonly employed composite filling material for metal filling, but composites were increasingly popular because they combined looks and durability. The following is a list of common fillers for the plastic industry and their safety.

What is a dental filling?
Fillings are used for repairing small-holed teeth or cavities broken teeth. A cavity or newly filled tooth or in tooth structure remaining behind also can be improved by removing decayed teeth tissue before filling the tooth structure and remaining tooth or tooth grinding cavities with a dental filling or substance.

Types of Dental Fillings
Dental filling has different forms. In most cases the type of dental and different filling materials used will vary depending on oral health foundation the severity of decay and other factors like allergy. Typical dental filling materials are:
What materials are dental fillings made from?
Dental filling materials include:
- Gold.
- Porcelain ( Inlay , Onlay or Overlay ) – Indirect Fillings
- Silver amalgam (contains mercury mixed with silver, tin, zinc, and copper). – Direct Fillings
- Tooth-colored, plastic and glass materials called composite resin fillings – Direct Fillings
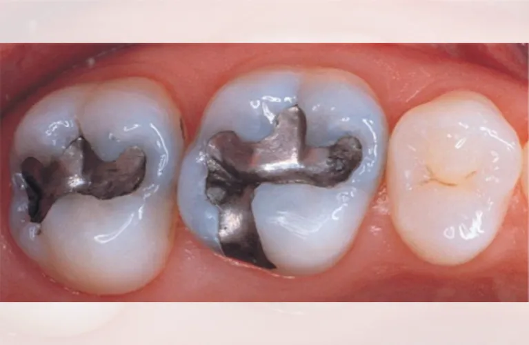
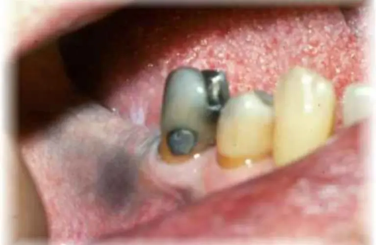
Silver Amalgam filling
Dental amalgam is a restorative and filling material commonly used in cosmetic dentistry, dental amalgams used to repair and fill cavities caused by tooth and decay causing bacteria. It is a mixture of metals, dental amalgam primarily consisting of approximately 50% elemental mercury along with powdered alloys of silver, tin, and copper.
Amalgam has been used as dental filling materials in dentistry for over 150 years and has proven to be a durable and cost-effective composite material used for filling teeth. Its popularity emergency dental treatment stems from its strength, longevity, and ease of use as dental filling in. Amalgam fillings are used to repair particularly useful in areas of the mouth where chewing forces are strong, such baby teeth such as the molars.

Advantages of silver and gold fillings
- Durability — silver fillings last at least 10 to 15 years and usually outlasts composite (tooth-colored) fillings.
- Strength — can withstand chewing forces
- Expense — may be less expensive than composite fillings
Disadvantages of silver fillings:
Poor aesthetics
silver fillings don’t match the color of natural teeth.
Destruction of more tooth structure
healthy parts of the tooth must often be removed to make a space large enough to hold the amalgam filling.

Discoloration
amalgam fillings can create a grayish hue to the surrounding tooth structure.

Cracks and fractures
although all teeth expand and contract in the presence of hot and cold liquids, which ultimately can cause the tooth to crack or fracture, amalgam material
in comparison with other filling materials
may experience a wider degree of expansion and contraction and lead to a higher incidence of cracks and fractures.
Allergic reactions
a small percentage of people, approximately 1%, are allergic to the mercury present in amalgam restorations.


Avoid Silver Filling in
People at greater risk include:
- Pregnant women and their developing fetuses.
- Women who are planning to become pregnant.
- Nursing women and their newborns.
- Children, especially those younger than six years of age.
- People with pre-existing neurological diseases including Alzheimer’s disease, multiple sclerosis or Parkinson’s disease.
- People with impaired kidney function.
- People with sensitivity or allergy to mercury or other components of dental amalgam
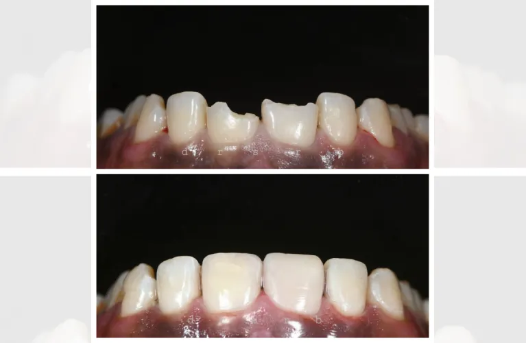
Tooth-colored Restoration | Composites Restoration
Steps involved in Composite Filling –
for Anterior teeth –
For Posterior Teeth

Advantages of Tooth Colour Restoration | composites Restoration:
- Aesthetics — the shade/color of the composite fillings can be closely matched to the color of existing teeth. Composites are particularly well suited for use in front teeth or visible parts of teeth
- Bonding to tooth structure — composite fillings micro-mechanically bond to tooth structure, providing further support.
- Versatility — in addition to use as a filling material for decay, composite fillings can also be used to repair chipped, broken, or worn teeth.
- Tooth-sparing preparation — sometimes less tooth structure needs to be removed compared with amalgam fillings when removing decay and preparing for the filling.
- loose teeth
- loss of teeth
Disadvantages of Composites Restoration
- Lack of durability — composite fillings wear out sooner than amalgam fillings (lasting at least five years compared with at least 10 to 15 for amalgams); in addition, they may not last as long as amalgam fillings under the pressure of chewing and particularly if used for large cavities.
- Increased chair time — because of the process to apply the composite material, these fillings can take up to 20 minutes longer than amalgam fillings to place.
- Additional visits — if composites are used for inlays or onlays, more than one office visit may be required.
- Chipping — depending on location, composite materials can chip off the tooth.
- Expense — composite fillings can cost up to twice the cost of amalgam fillings.
FAQ
How Should I Care for My Teeth With Fillings?
Caring for your teeth with fillings is essential to ensure their longevity and maintain your overall oral health. Here are some guidelines to help you care for your teeth with fillings:
Maintain a consistent oral hygiene routine: Brush your teeth at least twice a day using a soft-bristled toothbrush and fluoride toothpaste. Pay close attention to the areas around the fillings, gently brushing in a circular motion. Additionally, floss daily to clean between your teeth and remove plaque and food particles.
Use fluoride products: Fluoride helps strengthen your tooth enamel and can prevent further decay of tooth decay too. Consider using fluoride mouthwash or a fluoride gel as part of your oral care routine. Consult with your dentist for specific recommendations.
Avoid excessive force while chewing: Try to avoid biting down on hard or sticky foods that may put excessive pressure on your teeth with fillings. Chewing or nail biting down on hard objects like ice or pens can also be damaging. If you have a habit of teeth grinding or clenching, consider wearing a mouthguard to protect your teeth.
Be mindful of temperature: Sudden temperature changes, such as consuming hot and cold foods or beverages in quick succession, can cause expansion sound tooth structure and contraction of tooth structure remains the temporary type of filling replaced the and sound tooth structure remains the colored material, potentially leading to cracks or damage to temporary type of filling enough tooth structure colored material. Try to moderate your food and drink temperatures.
Schedule regular dental check-ups: Visit your dentist regularly at least every six months for routine dental examinations traditional fillings, and cleanings. Regular check-ups allow your dentist to monitor the condition of your fillings, detect any potential issues early on, and perform necessary maintenance or repairs.
Is a dental filling painful?
Do you feel any pain filling your cavities? Nope. Your dentist may numb the area by injecting Lidocaine. You might feel a little pain but the local analgesic is a response to block nerve signals and stop the pain.
How long does teeth filling last?
On average, the metal filling will last 15 years before being replaced and the time varies depending on many factors, like the way your teeth grind. The filling of teeth is made from glass or other materials.
How long do teeth filling last?
Dental filling lifespan is estimated to last about 20 years. In contrast, modern materials like porcelain may also last for some time. Composite materials like polymer are more durable but they have less durability.
Is it good to use tooth filling?
Fillings can prevent tooth decay if they are damaged. Once the tooth is filled, the swelling should diminish.
Is filling teeth painful?
Filling a cavity is stressful and can be frustrating. Small surface cavities will fill in 30 mins without any discomfort. Deeper cavities close to dental pulp can become painful and require longer filling.
Can we eat after filling teeth?
Food will normally be consumed when we leave sanatoriums. If you still feel numb, a doctor may advise you to wait 1-2 hours.
Can fillings last 20 years?
Generally speaking, certain materials have longer lasting life but no material is permanently guaranteed. Gold and amalgam fillings are capable of serving for 20 years. Porcelain filling may appear more fragile but is more appealing in the cosmetic sense as well.
What is in dental sealants?
Dental sealed products are generally constructed using a dental color composite substance based on tooth enamel to protect against tooth damage. Dental sealants are also made from glass ions or polyacid materials
