Full Mouth Rehabilitation

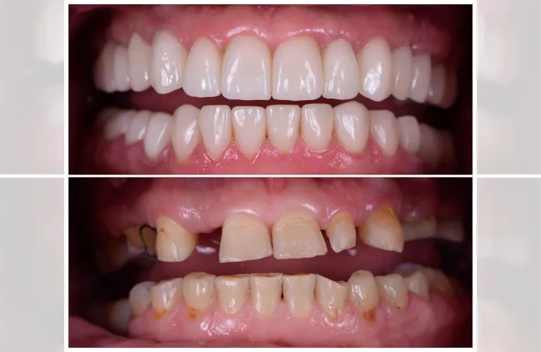
Full mouth rehabilitation is a technique that involves the restoration of lost tooth structure and bite to an existing tooth. This sensitive procedure rebuilds tooth enamel and dentin, which may be missing from an existing tooth. In some cases, it can be used to replace a missing tooth with a dental implant or dental bridge.
While it might sound like a complicated procedure, a full mouth rehabilitation is just a term that refers to a combination of different dental treatments needed to get your mouth back up at its best health possible.If you are wondering if a full mouth rehabilitation is for you, we can help you out. This is what you need to know.

There are many different reasons that a patient might need to have a full mouth rehabilitation. These include:
Tooth loss : Tooth loss is a major problem for many people. If a person loses a tooth, they can experience many health problems, including headaches, jaw pain, and difficulty eating. Many people who have lost teeth also experience depression, anxiety, or mood swings as a result of their missing teeth.
Tooth damage : A tooth that has been damaged can be difficult to repair. If the damage is severe enough, it could require the removal of the entire tooth and the surrounding tissues around it. The dentist will probably recommend that you see a specialist in oral surgery if this is the case.
Worn-down teeth : Worn-down teeth are common among adults over 40 years old due to their daily use and exposure to bacteria and food particles in between cleanings from dentists. They may also be caused by genetics or poor oral hygiene habits, such as chewing tobacco or smoking cigarettes.
Jaw, muscle, and headache pain : Many people experience jaw muscle pain when they laugh or talk too much because of wear-and-tear on their supporting muscles over time! We can remedy this with regular massages from your dentist.
Best Dentist or Dental Clinic near me in Bhayli-Vadodara, Gujarat
Aries Oro-Facial Dental Clinic provides the best Dental Clinic service near me in Bhayli, Vadodara, Gujarat also one of the top Dentist near me in Bhayli, Vadodara, Gujarat.
Best Dental Clinic and Dental Implant Centre in Bhayli-Vadodara, Gujarat
Aries Oro-Facial Dental Clinic is Best Dental Clinic in Vadodara and Implant Center. Dental implants can solve your problem. Dental Implants are one of the best and most innovative treatment dentistry has to offer. They have changed the face of dentistry over the last 25 years.
Top & Affordable Dentist in Bhayli-Vadodara, Gujarat
Aries Oro-Facial Dental Clinic: One of the top & affordable Dentist in Bhayli-Vadodara, Gujarat.
List of Best Dental Treatment Services as follows
- Dental Implant
- Dental Filling
- Root Canal Treatment
- Braces & Aligners
- Denture
- Bridges & Crowns
- Kids Dentistry
- Gum Treatment
- Teeth Whitening
- Smile Makeover
Dental Hospital near me in Bhayli-Vadodara, Gujarat
Aries Oro-Facial Dental Clinic very often makes it to the list of best dental hospitals near me in Bhayli, Vadodara, Gujarat. If next time you are planning to visit a ‘Dental hospital near me in Bhayli, Vadodara, Gujarat, we should be at the top of your list of dental hospitals near me in Bhayli, Vadodara, Gujarat.
10 Common Dental Problems and Treatment
Here is a look at halitosis, nine other common dental problems, and treatment options for each one.
- Tooth Decay
- Gum Disease
- Bad Breath
- Sensitive Teeth
- Cracked or Broken Teeth
- Receding Gums
- Root Infection
- Enamel Erosion
- Dry Mouth
- Teeth Grinding
Get Your Dental Problems Treated at Aries Oro-Facial Dental Clinic
Dental problems can affect your self-confidence, general health, and quality of life. Reach out to us at Aries Oro-Facial Dental Clinic whenever you notice signs of any of above mentioned common dental problems and treatment can begin as soon as possible.
Contact us, as well, for regular dental care to keep common dental problems at bay. Our dental professionals can assist with all aspects of your dental health.
FAQ
What Are The Benefits Of Full Mouth Rehabilitation?
Patients who have extensive tooth damage or have lost teeth are typically more susceptible to oral disease. Such conditions make it that much more difficult to maintain oral hygiene Tooth decay, gum disease and additional oral health problems will inevitably result from insufficient oral hygiene. Damaged teeth also have the potential to perish. If decay moves to the tooth’s core, referred to as the pulp, the tooth might not survive.
Will It Be Painful?
There is the potential for some discomfort. However, our dentist tries to keep you as comfortable as possible. The dentist might apply a local or general anesthetic to minimize pain. The dentist might also provide IV sedation therapy to reduce anxiety and keep you as calm as possible.
Am I A Candidate For Full Mouth Rehabilitation?
Only an experienced dentist can answer this question. However, those who have two dental health problems or multiple complications are excellent candidates for a full mouth rehabilitation. Make an appointment with our dentist to determine if you are a will need a full rehabilitation.
