
Digital Smile Design-An innovative tool in aesthetic dentistry

Here’s a short, updated version:
Digital Dentistry / Digital Smile Design / Smile Makeover refers to the use of advanced digital technologies—such as 3D imaging, CAD/CAM systems, and smile simulation software—to plan, design, and deliver precise, personalized dental treatments. It enhances accuracy, improves patient communication, and enables predictable, aesthetic smile transformations.
Who is eligible for the Digital Smile Design treatment? (When is the treatment done?)
- Dental treatment with a smile design is especially recommended for patients with tooth loss sensitivity, dental decay, missing teeth, loosen, bacteria plaque, poor gums, or gum disease.
- Often people suffer from such a situation without feeling a natural-looking smile and digital smile design is comfortable.
Digital Smile Designing Process
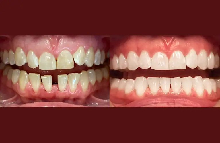
Digital Smile Design
We begin by understanding your concerns and expectations through detailed smile evaluation using photos and videos. Trial smile designs are created and discussed with you, making you a part of the co-design process. Our experts combine advanced technology with artistic skills to create your perfect, natural-looking smile—comfortably and confidently.
Digital Dentistry
Modern dentistry uses technologies like digital scans, CAD/CAM, and 3D printing for accurate diagnosis, faster treatment, and better results.
Key Benefits
Better aesthetics and confidence
Personalized treatment
Improved oral health and function
Quick, precise, and long-lasting results
Minimally invasive procedures
Let me know if you want an ultra-short (poster/Instagram) version too 👍
Reasons to See a Cosmetic Dentist For Digital Smile Design
There are many reasons you might see a cosmetic dentist, including:
- Tooth decay
- Damage (cracks, chips, etc.)
- Crooked teeth
- Misshapen teeth
- Discoloration
- Missing teeth
People with damaged, decaying, crooked, or discolored teeth may also have difficulty when eating and speaking. For others, dental issues may affect their self-esteem.
What Cosmetic Dentists Do Smile Designing?
- Enhance smile and facial aesthetics: Cosmetic dentists can help improve the appearance of your smile by addressing issues such as stained or discoloured teeth, crooked or misaligned teeth, gaps between teeth, or uneven gum lines.
Teeth whitening:
If you have yellow or stained teeth, a cosmetic dentist can perform professional teeth whitening procedures to brighten your smile.


Dental veneers | Emax Veneer
Dental Veneers are thin shells placed on the front surface of teeth to improve their appearance. They can correct dental imperfections like chips, cracks, or unevenly shaped teeth.
Dental bonding
Bonding involves applying a tooth-coloured resin material to teeth to repair minor imperfections like chips, cracks, or gaps between teeth


Invisalign or braces
Cosmetic dentists can offer orthodontic treatments like Invisalign or traditional braces to straighten crooked teeth and improve overall dental alignment.
Gum contouring
If you have a gummy smile or an uneven gum line, a cosmetic dentist can perform gum contouring procedures to reshape facial midline and balance the appearance tooth position of your gums anterior teeth.

- It’s important to note that while cosmetic dentistry focuses on improving your smile’s aesthetic aspects, maintaining good oral health through regular dental check-ups and proper oral hygiene practices is essential.
Digital Smile design, also known as cosmetic dentistry or aesthetic dentistry, offers several benefits, including:

Improved tooth shape and smile line appearance
- Smile design can enhance the overall appearance of anterior teeth, dental midline, and facial tooth proportions, making your smile more aesthetically pleasing.
- It can also address various cosmetic concerns, such as stained, misaligned, chipped, or unevenly spaced teeth, giving you a confident and attractive smile.

Improved tooth shape and smile line appearance
- Smile design can enhance the overall appearance of anterior teeth, dental midline, and facial tooth proportions, making your smile more aesthetically pleasing.
- It can also address various cosmetic concerns, such as stained, misaligned, chipped, or unevenly spaced teeth, giving you a confident and attractive smile.
Increased self-confidence
- A beautiful smile makeover can significantly boost your self-esteem and self-confidence. By addressing dental imperfections, a beautiful smile makeover a confident smile makeover, and designing can help you feel more comfortable and confident in social and professional settings.
Enhanced oral health
- Smile designing procedures often involve the correction and cosmetic treatment of dental issues, such as misaligned or crowded teeth, which can improve oral health.
- Straightening teeth can make oral hygiene practices more effective and reduce the risk of tooth decay, gum disease, and related complications.
Customized treatment
- Smile designing takes into account your individual preferences and facial appearance and features. Dental professionals work closely with patients to create personalized treatment plans, ensuring that the final results complement their unique, facial appearance and structure and meet their expectations.

Long-lasting results
- Depending on the specific procedures involved in cosmetic dentistry, smile-designing treatments can provide long-lasting results. For instance, dental veneers, crowns, and implants are durable and resistant to stains, offering years of improved facial aesthetics and functionality.
Functional improvements:
- In addition to improving the appearance and cosmetic benefits of natural teeth, smile design can improve dental function. Treatments such as orthodontics or dental implants can correct misalignments, bite issues, or missing teeth, leading to improved chewing, speech, and overall oral function.
- It’s important to consult with a qualified dental professional to determine the most appropriate smile design options for your specific needs and goals,
Who is not eligible for smile designing?
Poor oral health
- Individuals with significant dental issues, such as extensive tooth decay, gum disease, or oral infections may need to address these problems before undergoing smile design.
Insufficient tooth structure
- In cases where there is a lack of tooth structure or severe tooth damage, alternative treatments such as dental implants, dental bridges, or orthodontic interventions may be more appropriate.
Active periodontal disease
- If a person has an ongoing periodontal (gum) disease that is not under control, it may need to be treated before considering the smile design.
Severe malocclusion
- Patients with severe misalignment of teeth or jaw discrepancies may require orthodontic treatment or orthognathic surgery to correct their bite before pursuing smile design.
Uncontrolled oral habits
- Certain habits like teeth grinding (bruxism) or excessive clenching can put stress on the teeth and may compromise the long-term success of smile designing. These habits should be addressed and managed before proceeding with cosmetic dental procedures.
Disadvantages Of Digital Smile Designing
While smile design offers many benefits, there are some considerations:
- Cost: Can be expensive, especially with multiple procedures
- Irreversibility: Some treatments (like veneers or crowns) involve enamel removal
- Sensitivity: Temporary tooth or gum sensitivity may occur
- Maintenance: Future repairs or replacements may be needed
- Limited Health Focus: Primarily cosmetic, may not address underlying issues
- Time-Consuming: Requires multiple visits and planning
- Risks: Possible complications like irritation or allergic reactions
If you want, I can make this into a super short “1-line each” Instagram carousel version.
FAQ
What is a digital smile design?
DSD is a technological tool that is used to design and modify the patient smile digitally as well as help in visualizing the smile design in person.
What are the limitations of digital smile design?
DSD has many disadvantages that make it expensive to use. A more expensive dentist would have to provide you with an ideal looking face shape. DSD treatments generally cost more than dental offices with no DSD.
What does smile design mean?
Cosmetic dental procedures are designed to correct tooth imperfections and improve the appearance of your teeth.
What is the cost of smile design in India?
Do you think this will last a lifetime? Typically the average cost for smile designing services is between Rs 50- 70k depending on features.
What are the disadvantages of smile design?
Another limitation of DSD is that they are generally more expensive. A professional smile can often be costly. Typically DSD treatment costs more than a dental clinic that uses no DSD.
Why is smile designing important?
The smile design can help improve your smile, fill gaps between teeth, reshape the size and look of your teeth, and change the position of teeth.
Is smile design permanent?
Smile makeovers are generally long-lasting when teeth are kept healthy. You should have a regular dental examination and maintain the correct dental condition.
What cosmetic dentist means?
Cosmetic dentistry involves dentistry focusing on enhancing your smile. Cosmetic dentistry includes tooth bleaching, bonding and veneers.
What is the difference between a dentist and a cosmetic dentist?
Dental care focuses primarily on removing underlying disease from the mouth and treating dental ailment while the dental aesthetics are the primary focus. The different types of dental care are important to know to determine whether a dentist is right for you.
What comes under cosmetic dental treatment?
Cosmetic Dental procedures are usually applied to all dental procedures which improve appearance or functionality of teeth, gums or bite. This program is primarily aimed at improving teeth appearance by improving color, form, length, position, alignment and overall appearance.
