Tooth Extraction In Vadodara – Aries Oro-Facial Dental Clinic

Having a Tooth Pulled: What to Expect, Causes For Extraction, and More
Tooth extraction is a dental procedure where a tooth is removed from its socket in the jawbone. Here’s what you can expect and some common causes for extraction:

Common causes for Tooth extraction:
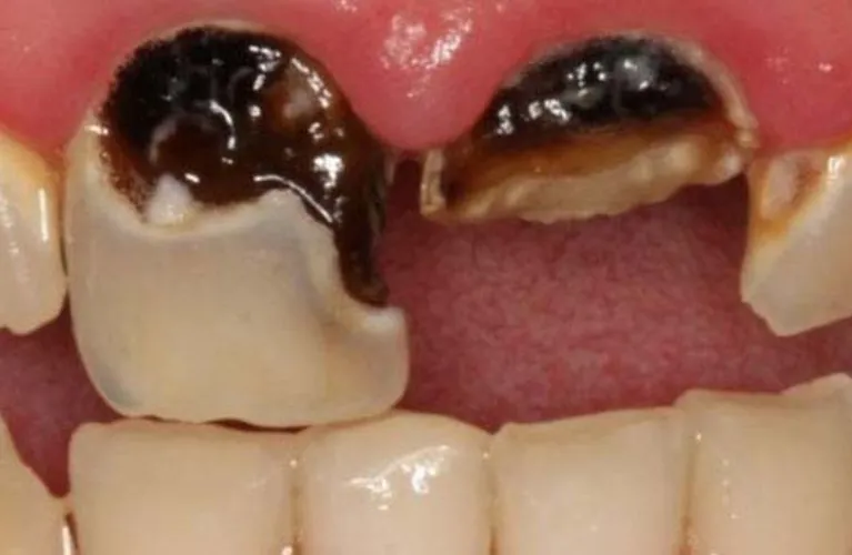
Severe decay:
When a tooth is extensively decayed and cannot be restored through a filling or root canal treatment, extraction may be necessary.


Periodontal disease
Advanced gum disease can cause the supporting tissues and bone around a tooth to deteriorate, making extraction the only option.
Impacted wisdom teeth
Wisdom teeth, also known as third molars, often don’t have enough space to emerge properly, leading to pain, infection, and potential damage to nearby teeth. In such cases, extraction is recommended.


Crowding:
Sometimes, tooth extraction is required as part of orthodontic treatment to create space for proper teeth alignment.
Fractured or broken teeth:
If a tooth is severely fractured or broken, extraction may be the best solution.


Infection or abscess
When a tooth infection is severe and not treatable with antibiotics or a root canal, extraction may be necessary.
How to prepare for tooth extraction
First Dentist will take all Necessary Xray
inform a dentist of the medicine you take, like vitamins, antibiotics, or any supplementary drugs for
- Liver disease
- kidney disease
- a congenital heart disease,
- diabetes
- blood pressure
- Joint Problem
- damaged valve disease
- history of bacterial carditis
- adrenal disease
- past Dental History
Local anesthesia
Local anesthesia is commonly used during tooth extraction procedures. It involves the administration of an anesthetic agent to numb the specific area where the extraction will take place.
This helps to prevent pain and discomfort during the procedure. The anesthesia is typically injected into the gum tissue near the tooth or teeth being extracted. Once the area is numb, the dentist or oral surgeon can safely remove the tooth without causing pain to the patient.
Sedation anesthesia
There are a few options for additional sedation. Nitrous oxide (or laughing gas) offers minimal sedation to help you relax during your procedure. Your dentist or oral surgeon could offer you conscious sedation through a pill or tablet that you take before the procedure.
With both of these options, you’ll still be fully awake but will feel more relaxed and drowsy. For more moderate sedation, your dentist or surgeon may recommend sedation medication through an intravenous (IV) line in your arm.
General anesthesia
General anesthesia is usually offered only in special situations. It’s administered by inhalation through your nose or by IV in your arm. Sometimes both are used at the same time.
With general anesthesia, you’ll lose consciousness and be fully asleep. During the extraction, your vital signs, such as breathing, blood pressure, and temperature, will be monitored. You shouldn’t experience pain or have any memory of the procedure.
What is the procedure for a tooth extraction?
Your tooth extraction will either be simple or surgical, depending on whether your tooth is visible or impacted.
Simple extraction
You will receive a local anesthetic, which numbs the area around your tooth so you’ll feel only pressure, not pain, during the procedure. The dentist then uses an instrument called an elevator to loosen the tooth and forceps to remove it.
Surgical extraction
You will likely receive both local anesthesia and intravenous anesthesia, the latter of which makes you calm and relaxed. You may also receive general anesthesia, depending on any medical conditions. With general anesthesia, you will remain unconscious during the procedure.
The general dentist or oral surgeon will cut into your gum with a small incision. They may need to remove bone around your tooth or cut your tooth before it can be extracted.
What are the side effects of removing a tooth?
Pain and discomfort:
You may experience pain, swelling, and tenderness in the extraction site. This is normal and typically resolves within a few days to a week.
Bleeding:
It is normal to have some bleeding from the extraction site initially. Your dentist will provide you with instructions on how to manage and control the bleeding.
Swelling:
Swelling around the extraction site is common and may last for a few days. Applying ice packs to the affected area can help reduce swelling.
Bruising:
You may notice bruising around the extraction site or on your face. This is usually temporary and will fade over time.
Limited mouth opening:
You may experience difficulty in fully opening your mouth for a few days after the extraction, especially if the procedure was complex or involves wisdom teeth removal.
Infection:
Although rare, infections can occur after tooth extraction. Your dentist will provide you with instructions on how to prevent infections and may prescribe antibiotics if necessary.
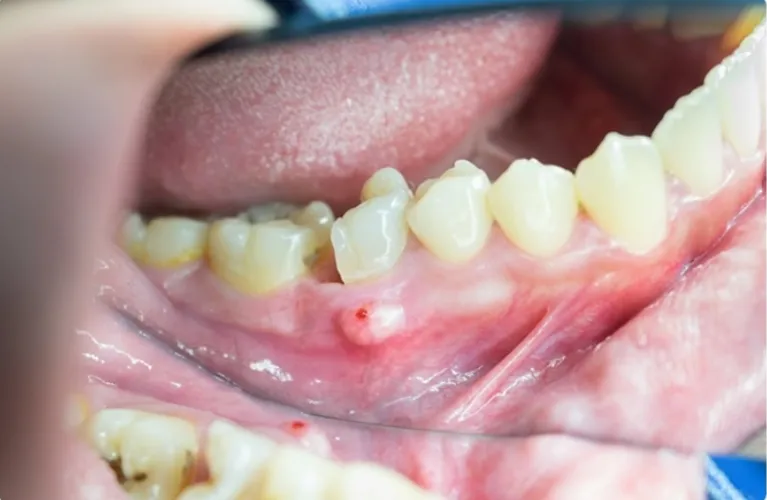
Dry socket:
In some cases, a blood clot that forms in the extraction socket may dissolve or become dislodged, leading to a condition called dry socket. This can be painful and may require additional treatment by your dentist.
When to See the Dentist after a tooth extraction
- bleeding last longer than 12 hours
- nausea
- vomiting
- cough
- shortness of breath
- chest pain
- Swelling in Surgical site
Recovery and Outlook
Recovery: After the extraction, you may experience some discomfort, swelling, and bleeding. The dentist will provide post-operative instructions, which typically include gently biting on a gauze pad to control bleeding and applying ice packs to reduce swelling.
Pain medication may be prescribed, and you should follow a soft diet for a few days. Proper oral hygiene, including gentle brushing and avoiding rinsing vigorously, is important to promote healing.
Recovery time depends on the type of extraction you’ve had
Simple extraction
After extracting a large tooth with multiple roots, the healing process may take longer. While the hole should close by the end of the third week, complete healing and closure of the hole may require several months. During this period, the hole will appear closed but may have a noticeable indentation that can be felt with the finger or tongue
Surgical extraction
Surgical extractions require more extensive procedures, leading to a longer healing time for the tooth hole. The tissues and bone beneath the gum line are cut during this process.
After a surgical extraction, it typically takes around 6 weeks for the tooth hole to be fully or almost fully closed. However, it may take several additional months for the indentation to fill in completely and for the healing process to be fully completed.
Healing stages of tooth hole after extraction
After a tooth extraction, the healing process typically involves several stages:
24 to 48 hours after tooth extraction
- Blood clot formation: Immediately after the extraction, a blood clot forms in the socket to protect the underlying bone and promote healing.
- Bone and gum tissue growth: Over the next few weeks, new bone and gum tissue gradually start to grow in the socket.
7 to 21 days after surgery
- Tissue granulation: The socket may appear pink and have a granular texture as new tissue forms.
- Socket closure: The socket gradually closes as the gum tissue fully heals and covers the extraction site.
- Complete healing: It can take several weeks to several months for the extraction site to fully heal, depending on the individual’s healing ability and the complexity of the extraction.
During the healing process, it’s essential to follow post-operative instructions provided by your dentist or oral surgeon, such as keeping the extraction site clean, avoiding smoking, and eating soft foods. If you experience severe pain, excessive bleeding, or other concerning symptoms, it’s important to contact your dental professional for further guidance.
After an extraction, such as a tooth extraction or a surgical procedure, it is important to follow these general guidelines:
- Follow post-operative instructions: Carefully follow any instructions your dentist or surgeon provides. These instructions may include information on medication, wound care, diet, and activity restrictions.
- Manage pain and swelling:Take any prescribed pain medication as directed or use over-the-counter pain relievers recommended by your healthcare provider. Apply ice packs to the affected area to help reduce swelling.
- Rest and limit physical activity:Give your body time to heal by resting and avoiding strenuous activities for the recommended duration. This allows the extraction site to heal properly.
- Maintain oral hygiene: Brush your teeth gently, avoiding the extraction site, to keep your mouth clean. Follow any specific oral care instructions provided by your dentist, such as preventing rising vigorously or using mouthwash for the first 24 hours.
- Eat soft foods:Stick to a soft diet for the first few days after the extraction to avoid irritating the area. Gradually reintroduce solid foods as recommended by your healthcare provider.
- Avoid smoking and alcohol: Refrain from smoking or consuming alcoholic beverages as they can delay healing and increase the risk of complications.
- Keep follow-up appointments: Attend any scheduled follow-up appointments with your dentist or surgeon to monitor the healing process and address any concerns.
Do
- Keep a gauze pad over the area for at least 30 minutes after surgery. This will help the blood clot start to form in your tooth hole.
- Rest and give your body time to recuperate.
- Talk with your dentist or surgeon about the medications you take. Certain types, such as blood thinners, may delay healing of your tooth hole.
- Drink lots of room temperature water.
- Keep the area clean by rinsing with salt water.
- Only eat soft foods for the first few days.
- Use an ice pack on the outside of your face to reduce swelling.
Was this helpful?
Don’t
- Don’t rinse the area for the first 24 hours.
- Don’t drink anything hot or extremely cold for the first few days.
- Don’t do any strenuous activities that might accelerate blood flow during the first few days.
- Avoid any activity that causes suction in your mouth during the first few days so that you don’t dislodge the blood clot that starts to form. This includes smoking cigarettes, drinking through a straw, and spitting.
- Don’t drink alcohol or use alcohol-based mouthwash for 24 hours after surgery.
- Avoid eating anything that might become lodged in the hole, such as strawberry seeds or nut
Was this helpful?
What is the recovery Time from a tooth extraction?
It may take a few days to recover after a tooth extraction. The following steps require to ensure that your recovery goes smoothly.
- Apply an ice pack to your cheek directly after the procedure to reduce swelling. Use the ice pack for 10 minutes each time.
- After the dentist places the gauze pad over the affected area, bite down to reduce bleeding and to aid in clot formation. Leave the gauze on for three to four hours, or until the pad is soaked with blood.
- Take any medications as prescribed, including over-the-counter painkillers.
- Rest and relax for the first 24 hours. Do not jump immediately into your regular routine the following day.
- Don’t use a straw for the first 24 hours.
- Don’t smoke.
- Don’t rinse for 24 hours after the tooth extraction, and spit only gently.
- Use pillows to prop your head up when you lie down.
- Brush and floss your teeth like normal, but avoid the extraction site.
- The day after the procedure, eat soft foods, such as yogurt, pudding, and applesauce.
- After 24 hours, add a half teaspoon of salt to eight ounces of warm water to rinse out your mouth.
- As you heal over the next few days, you can slowly reintroduce other foods into your diet.
If you are experiencing pain that isn’t going away after several days or signs of an infection —including fever, pain, and pus or drainage from the incision — make an appointment to see your dentist as soon as possible.
Self-care
To assist in pain management, such as:
- put an ice pack on your cheek
- rest
- prop your head up with a pillow when lying down
- eat soft, cool foods
- rinse your mouth with saltwater starting 1 day after the surgery
- use warm compresses
Food to eat After a Tooth extraction
After an extraction, it is important to eat soft and easy-to-chew foods to avoid irritating the extraction site. Here are some recommended foods to eat:
- Soft fruits: Bananas, applesauce, and mashed avocados.
- Cooked vegetables: Steamed or boiled carrots, spinach, and mashed potatoes.
- Soft proteins: Scrambled eggs, yogurt, cottage cheese, and tofu.
- Soups: Clear broths, vegetable soups, and pureed soups.
- Soft grains: Cooked rice, oatmeal, and well-cooked pasta.
On the other hand, it is advisable to avoid certain foods that can potentially cause discomfort or hinder the healing process:
- Crunchy or hard foods: Nuts, chips, popcorn, and raw vegetables.
- Sticky or chewy foods: Gum, caramels, and taffy.
- Spicy or acidic foods: Citrus fruits, tomato-based sauces, and hot spices.
- Carbonated drinks: Soda and fizzy beverages.
- Alcohol and tobacco: These can delay healing and increase the risk of complications.
Remember to follow any specific instructions or dietary recommendations provided by your dentist or oral surgeon
