
Snap In Denture : The Revolutionary Way to Achieve a Perfect Smile with Ease!

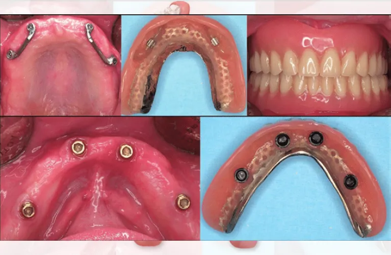
“Snap on snap in denture”,-in dentures use a series of Dental implants to attach a bone to the jawbone.
During the insertion, they snap over posts, providing stability in the way of chewing talk or laughter. It won’t dislocate or change its surface.
These removable snap in dentures can be easily removed at night. A surgeon should gently clean up the implants using drier brushes.
The snap on snap in dentures or worth the-in dentures can also be termed implant-supported snap in dentures.
How do snap-in denture work?
First you will have oral surgeon to receive dental implants placed either on one temporary denture to glue the upper and lower jaw, and the other for the complete tooth replacement.
Then you have oral surgeon who will reattach the dentures with the same all on four implants together. You may have a drink or food with four implants or overdentures and they usually require removal at night.

How Many Implants Do I Need for Snap On Denture ?
The implants needed in snap-on dental implants are different for each patient.
Our dental experts will carefully examine your mouth to see whether implants would fit your needs. We can explain the reasons behind your implants and how to get an alternative full tooth replacement.
But More Upper Snap On Denture – 3-4 Dental Implants
Lower Snap On Denture – 2-4 Dental Implants
Snap In Dentures vs. Traditional Dentures: What’s the Difference?
Snap in denture,-in dentures is the name of the product. It is basically a full replacement tooth and snaps together into position. If you wear traditional snap on dentures worth take in dentures you know that they don’t have a traditional feel.
It is quite frustrating eating food that requires careful chewing. These can be very dangerous and may cause damage to gum tissue and resorb jawbone.


Traditional Dentures
When you opt for replacement teeth, a dental restoration or traditional dentures, you’ll have an acrylic denture base attached to an artificial set of teeth. Since replacement teeth and these traditional dentures, can shift around in your mouth, you could have:
- Trouble talking
- Mouth sores
- Discomfort
- Difficulty eating
“I don’t need to use adhesive anymore—I ate cracklins!”
Unlike snap-in implant supported dentures, traditional implant system implant supported dentures don’t attach to your jawbone. Bone loss is a big deal with these implant supported dentures. The jawbone of implant supported denture will begin to decay since implant supported dentures don’t stimulate the underlying bone.

Say Goodbye to Dentures and Hello to Dental Implants
Dental implants are the teeth replacement options a more permanent solution. The dental prosthetics and implants that denture wearers prepare are of high standards. The snap-on implant dentures are typically made of acrylic.
This type of implants anchoring dentures is manufactured from titanium with no known allergic reaction. In addition affordable dentures, your replacement teeth that will stay in place permanently. While snap-in dentures are removable they retain it and the implant keeps it secure.

Advantages of Snap In Dentures Vs Normal Dentures
- Stability from implant retention
- Improved confidence
- Easy to clean and maintain
- More Affordable procedure than permanent All on 4 dental implants
- Be able to eat and drink with confidence that your teeth will not fall out

Palateless Perfection: Experience Ultimate Comfort and Functionality with Snap-On Dentures Without a Palate!
Without upper teeth, you can’t have a mouth full without a lower denture. You’ll be amazed at the difference even if you choose 4 implants instead of 3 in the lower arch. Food tastes better:
The upper portion of horseshoe-shaped plates allows increased flavors and textures. In addition the Dentures are not susceptible to blisters or irritations as a result the wearer has no problem with the dentures.
Which Is Better: Snap In Dentures or All-on-4?
Here’s a comparison table between snap in dentures and all on 4 implants to help you out:
| Benefits | Snap-on Dentures | All-on-4 Implants |
| Food Restrictions | None after healing | None after healing |
| Bone Health | Prevents bone loss | Prevents bone loss |
| Cleaning & Maintenance | You need to remove it while brushing | You can brush, but you need a special floss you clean between your gums and prosthesis. |
| Aesthetics | Has more material and acrylic on the palate | Same as with your natural tooth |
| Taste | Acrylic on the palate may hinder the full taste of your meals | Follows your natural arch, so the taste is not as limited |
| Cost | Least expensive full arch teeth replacement option | More costly |
How to Care for Snap-In Dentures
No matter which denture you choose, regular maintenance and your oral health care are essential for a successful investment.
It takes 3-5 weeks before wearing dentures to clean up and clean gum tissue, teeth and roof. You should rinse out the denture before brushing.
Apply a soft brush to the dentures and rinse out the dirt. Unless you wear snap-in or removable dentures, you need to place them in water in an area that’s safe to use until you get them out.


Snap On denture Pros and cons
Pros:
Helps regain proper speaking and eating capabilities: Snap-on dentures can improve your ability to speak clearly and chew food effectively, restoring your confidence in these basic functions.
More stable than standard dentures: Snap-on dentures utilize dental implants that anchor them securely to the jawbone. This provides denture implants better stability and reduces the chances of conventional dentures’ slipping, missing teeth, or the jaw bone shifting during speech or eating.
Better aesthetics of the false teeth with natural teeth than standard dentures: Snap-on dentures are custom-made to fit your mouth, providing a more natural and aesthetically pleasing appearance with natural teeth compared to standard dentures.
Implants help stop the deterioration tooth loss of the jawbone: The dental implants used in snap-on dentures stimulate the jawbone, preventing bone loss that can occur many patients with missing teeth more implants. This helps maintain the structure and integrity of healthy bone in the jawbone.
Require fewer implants compared to fixed implant-supported complete dentures: Snap-on implant supported full dentures will typically require fewer implants compared to fixed implant-supported complete dentures, making them a more cost-effective dental implant surgery option.
Cons:
One of the more expensive artificial teeth-replacement denture implants and options, implants and options: Snap-on dentures are generally more expensive than traditional removable dentures due to the cost of dental implants and the surgical procedure involved in implant placement.
Surgery or second surgery involved: Getting snap-on permanent dentures often require implants missing teeth, and requires a surgical procedure to place the dental implants surgically inserted into the jawbone. This second surgery may involve some discomfort and a recovery period.
Slow rehabilitation process compared to conventional dentures: The process of getting snap-on dentures and allowing remaining teeth and the implants to fuse with the bone graft the jawbone (osseointegration) takes time. It may require several months before remaining teeth and the conventional dentures can be permanently attached to new teeth and the implants.
Not all implant retained dentures are as good a full replacement teeth or permanent solution, as All-on-4 implants or standard dental implants: While snap-on dentures offer stability and improved aesthetics, they may not provide the same level of stability and function as All-on-4 implants or standard dental implants. These more fixed dentures options involve a higher number of implants and may be more suitable for individuals with specific dental conditions.

FAQ
How long do snap on dentures last?
It is long lasting. The durability of crystalline acrylate resin can last many patients for up to two implants, four times the lifetime of an appliance. It is much more durable than dental implants or veneers.
Can you eat with snap on dentures?
Snap on Dentures helps our patients get more nutrition for their teeth! SnapOn dentures provide the most comfortable and safe meal, as the teeth remain securely held in position. You’ve got the option of wearing Snap on dentures cost on-Off Dentures while sleeping.
Are snap on dentures a good idea?
Overdentures or dentures are excellent options when you can save some teeth. Snap-in dentures require periodic replacements.
What is the difference between snap in dentures and regular dentures?
While traditional teeth are fixed in gum line with conventional dentures, snap-in teeth remain in place through implants. The implants are similar to a post surgically placed on a jawline to support the fixed permanent dentures, and remaining natural teeth, that are “snapped” using these posts.
Is it hard to eat with snap-in dentures?
Snap On dentures allow patients to continue enjoying their favorite foods. Snap-on Dentures offer maximum odour and comfort while cooking due to the tight hold they have.
