
Gum disease symptoms and treatments

Dental oral health conditions: should be always properly treated very early on with good dental hygiene, although additional dental or medical care may sometimes be required.
What are the three signs ?
Symptoms include gum bleeds when a person is brushing deep cleaning their teeth, not flossing sensitive teeth regularly, or has sensitive teeth when eating soft foods like apples.
Tell me the condition of you brush your teeth. Bad breaths.
It is painful, persistent bad breath, for gums to shrink, you have lost teeth or they are tearing off. Bad breath with a bad taste. You have gum damage? Your teeth loosen and erode.

Is gum disease serious?
Periodontal diseases are mainly gum diseases and can damage the top jaw bone and bone graft and the jaw bone graft and the soft tissues surrounding teeth.
Periodontitis may cause some tooth loss or resorption if left alone. The teeth may lose elasticity if this is done in a dental practice. Periodontitis is often common but is sometimes avoided.

What are the warning signs of gum disease?
Symptoms include
- Bad breath – the odors will not disappear.
- Red gum. Tender or bleedy teeth.
- Painstaking, chewing tobacco.
- Locked teeth.
- Sensible Dentures. Gum that has been taken off your tooth.
- Changing how teeth fit a tooth fits together when a bite happens.
- Bad breath – a bad taste that never fades.
- Red or swelling gum tissue. swollen gum. Symptomatic gum inflammation or chews.
- The tooth is losing. Senses. –
- The tongue. A front gum line pulling out of your teeth. Any changes to your gum line so teeth fit how a tooth fits together in a bite.
What do the early stages of gum disease look like?
The first symptoms associated with gum disease are bleeding and swollen gums from brushing your teeth and flossing. The resulting, sometimes bleeding gums and swollen gums can sometimes be visible on toothbrushes. A little blood can be seen on swollen and bleeding gums if you eat apples. Consult or see a dentist, if you think the symptoms may exist at this time.
What are 4 stages of gum disease?
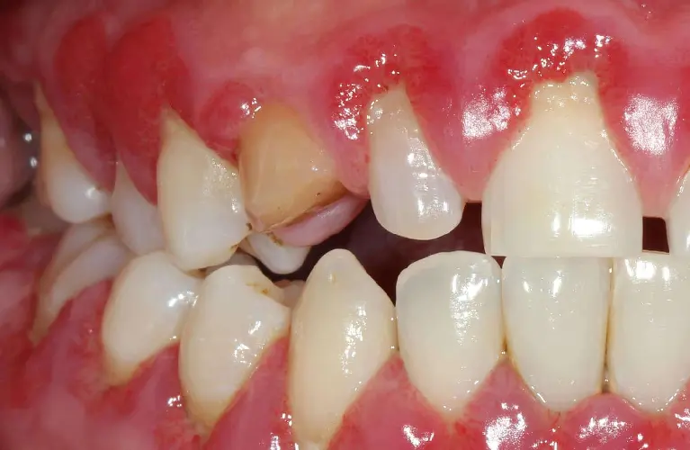
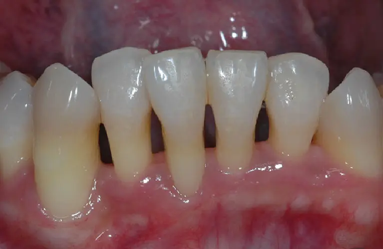
Healthy gums are firm to the touch. They don’t bleed or swell.
But periodontal can treat that can cause discolored (reddish or purplish), swollen, bleeding gums. Left untreated, gum disease can cause the destruction of part of brushing your teeth and underlying jawbone, leading to possible further tooth loss and bone loss too.
The breakdown of tissues around your teeth happens gradually. In fact, most people don’t experience pain with gum disease — especially during the early stages and mild symptoms, of gum disease and tooth decay. So, it’s important to know the warning signs.
There are four stages of gum disease:
Gingivitis.
This is the earliest stage . It starts with red, puffy gums that may bleed when you brush or floss. At this stage, there’s no bone loss. As a result, gingivitis is totally reversible with proper treatment.

Mild periodontitis.
The bacteria have seeped beneath your gums, affecting the supporting bone. Your gums may pull away from your teeth, creating pockets around them. Plaque and bacteria like to hide in these pockets, where your toothbrush and floss can’t reach.
Moderate periodontitis.
Left untreated, bacteria begin to erode the ligaments, soft tissues, and bones that hold your teeth in place. You may notice bad breathand pus (infection) around your gum line. Some people develop pain at this stage.
Advanced periodontitis.

As periodontal disease worsens, bone loss continues. This can cause your teeth to become loose and eventually fall out.
What causes periodontal disease?
Gum, called gum disease, is primarily caused by bacterial infection and inflammation of the tissues surrounding the teeth and healthy gums. The main culprit in preventing gum disease and gum infection is a sticky, colorless, sticky film of bacteria called plaque that forms on the teeth and gum line. When sticky film of plaque is not adequately removed through proper oral hygiene practices like brushing and flossing regularly, it can harden into both plaque and tartar, or calculus.
The bacteria in dental plaque and tartar release toxins that irritate and inflame the teeth and gums below, leading to the early stage of gum disease called gingivitis. Gingivitis is characterized by red, swollen gums that may bleed easily during brushing or flossing. If left untreated, gingivitis can progress to periodontitis, or periodontal disease which is a more severe form of gum to treat gingivitis disease.
In periodontitis, the bacterial infection and inflammation spread below the gumline, causing soft tissue of the teeth and gums, to pull away from the teeth and form pockets. These pockets become spaces where bacteria can thrive and damage the supporting structures of the teeth and gums to loose the whole teeth and gums, including the gum, soft tissue itself, periodontal ligament, and bone. Over time, this can lead to serious tooth decay and tooth loss too.
Various factors can contribute to the development and progression of periodontal disease, including:
Poor oral hygiene:
Inadequate brushing, flossing, and lack of regular dental cleanings allow plaque to build up, increasing the the risk factor of gum disease.
Tobacco use:
Smoking or chewing tobacco weakens the immune system and damages gum tissues, making them more susceptible to gum infection too.
Genetics:
Some individuals may have a genetic predisposition to gum disease, making them more susceptible even with good oral hygiene practices.
Hormonal changes: Hormonal fluctuations during puberty, pregnancy, and menopause can make gums more sensitive and prone to gum disease.
Systemic diseases:
Conditions like diabetes, HIV/AIDS, and certain autoimmune disorders can increase the risk and severity of periodontal disease.
Medications:
Some medications, such as certain anti-seizure drugs and oral contraceptives, can affect oral health and increase the risk of gum disease.
Poor nutrition:
A diet lacking in essential nutrients, particularly vitamin C, can weaken the immune system and impair gum health.
Stress:
Chronic stress can make it harder for the body to fight off infections, including gum infections.
Grinding or clenching teeth: Excessive force exerted on the teeth can damage the supporting structures brush your teeth and contribute to gum disease.
Maintaining your dental and oral health, through good oral hygiene practices, visiting the dentist regularly for a regular dental check ups top-ups and cleanings, and addressing risk factors can help prevent and manage periodontal diseas
Gum disease risk factors
A risk factor is something that increases your chance of getting a periodontal gum disease, or condition. Possible periodontal disease risk factors include:
Smoking or other tobacco use.
Poor oral hygiene.
Diabetes. Autoimmune diseases, including lupus, scleroderma, and Crohn’s disease.
Hormonal changes, particularly during puberty, pregnancy, and menopause.
Stress.
Genetics (you’re more likely to get gum disease if your parents, grandparents, or siblings have it).
Heart disease.
Complications of gum disease
If you develop gingivitis and don’t have the plaque or tartar (hardened by plaque and tartar) removed from your teeth, the condition may get worse and lead to periodontitis.
You may develop further complications if you don’t treat periodontitis (where the tissue that supports teeth is affected), including:



recurrent gum abscesses (painful collections of pus)- increasing damage to the periodontal ligament (the tissue that connects the tooth to the socket)
- increasing damage to and loss of the alveolar bone (the bone in the jaw that contains the sockets of the teeth)
- receding gums
- loose teeth
- loss of teeth
FAQ
Can gum diseases be cured?
Only a dental exam by a qualified medical professional can be trusted to properly diagnose disease control these national health problems. Keep in mind that gum disease cannot be cured. However, there are ways to treat the and prevent gum disease and disease control because of it by taking good care of the whole dental health and oral health first.
Is gum disease serious?
Periodontal diseases are mainly gum diseases and can damage the soft tissues surrounding teeth. Periodontitis may cause tooth resorption if left alone. The teeth may lose elasticity if this is done in a dental practice. Periodontitis is often common, but is sometimes avoided.
What are the warning signs of gum disease?
ymptoms of periodontal disease include:
Bad breath – the odours will not disappear. Red in gum tissue. Tender or bleedy teeth. Painstaking chewing. Locked or loose teeth. Sensible Dentures. Gum that has been taken off your tooth. Changing how a tooth fits together when a bite happens. Bad breath – a persistent bad breath or taste that never fades. Red or swelling gum tissue. swollen gum. Symptomatic chews. The tooth is loosing. Senses. – The tongue. A gum pulling out of your teeth. Any changes to how a tooth fits together in a bite.
What does early stages of gum disease look like?
The first symptoms associated with gum disease are bleeding from brushing your teeth and flossing. The resulting bleeding called gum disease can sometimes be visible on toothbrushes. A little blood can be seen if you eat apples. Consult or see a dentist, if you think gum disease may exist at this time.
How does gum disease start?
In most instances periodontitis develops through plaques. Plaques are sticky films hardened plaque containing primarily bacteria. When not treated early, plaque may develop into periodontitis.
What does gum disease look like at first?
Gingivitis is the first stage of gum disease resulting from plaque. Symptoms treat gingivitis may include gum disease that causes bleeding, redness, and swelling. Sometimes the throat can be very dry. Because gums are normally painless, you’ll probably be unaware you have it.
How can I get rid of an infection in my gums?
Saltwater can aid the healing of and prevent gum disease too. Saltwater may reduce gum inflammation as well as bacteria in your mouth and prevent gum disease. Using distilled salt water twice per day can help prevent and treat gum disease.
How do you remove plaque from teeth?
The fluoride toothpaste brush removes the plaque buildup from the teeth. Apart from this, it removes waste that contributes to dental plaque in formation. Brush your teeth clean, with two fingers to brush off the excess dirt and any plaque buildup.
What is the difference between tartar and plaque?
Tartar builds up in your gums loose teeth if your teeth aren’t properly cleaned. Leaving too many plaques on a tooth will not remove plaque and turn remove plaque into tartar which will become more difficult to remove. Tartar cannot be eliminated from puffy gums or loose teeth through regular brushing or flossing.
