Wisdom tooth removal in Vadodara – Aries Oro-Facial Dental Clinic

What is Wisdom tooth surgery? Wisdom tooth Removal in Vadodara
Wisdom tooth removal is a common dental procedure that involves extracting the third molars, four permanent adult teeth located mostly at the back of your mouth. These four permanent adult teeth, also known as wisdom teeth, typically emerge between the ages of 17 and 25. However, they often cause problems due to lack of space or improper alignment.

Why do have wisdom teeth? | Wisdom tooth removal
Wisdom teeth, also known as third molars, and nearby teeth are vestiges from our evolutionary past. They were useful to our ancestors who had larger jaws and other teeth and ate a diet that consisted of harder, rougher foods.
However, as our diets and jaws have evolved over time, wisdom teeth have become less necessary and often cause problems due to their size and position.
Many people experience issues with wisdom teeth management such taking pain medication such as other unusual symptoms, such unusual symptoms such as impaction, crowding severe pain, and infections, which often require their wisdom teeth removal surgery.
Why do we need to remove the wisdom tooth removed? | Wisdom Tooth Removal
Lack of space
Most mouths do not have enough room to accommodate the wisdom teeth, also known as third molars. As a result, they may become impacted, meaning they cannot fully emerge from the gums. Impacted wisdom teeth can lead to severe pain and, infection, and damage to adjacent teeth.

Crowding and shifting of other teeth around:
The presence of wisdom teeth can exert pressure on the existing teeth, causing them to become misaligned or crowded. This can negatively affect the alignment of other teeth and last adult teeth in your smile and may require orthodontic treatment to correct.
Infections and gum disease:
Wisdom teeth are located at the back of the mouth, making them difficult to clean properly. The partially erupted or impacted wisdom teeth can create pockets around them, which become a breeding ground for bacteria. This can lead to infections, swelling, and gum disease.
Tooth decay:
The position of wisdom teeth makes them more susceptible to tooth decay. Their location at the back of the mouth makes brushing and flossing challenging, increasing the risk of plaque buildup and cavities.
Cysts and tumors:
In some cases, the sac surrounding exposed bone of an impacted wisdom teeth or wisdom teeth extraction or tooth can develop fluid-filled cysts or, rarely, tumors. These can cause damage to the surrounding bone of impacted wisdom teeth and neighboring teeth if left untreated.

Prevention:
Some dentists recommend proactive removal of wisdom teeth even if they are not currently causing problems. This preventive approach is based on the likelihood of future issues due to the wisdom teeth removed, the wisdom tooth extraction itself, wisdom teeth extraction site, or wisdom teeth removal recovery, from wisdom tooth extraction or to wisdom teeth recovery to the reasons mentioned above.
It is important to consult with a dental professional who can evaluate your specific situation and recommend the appropriate course of action regarding wisdom tooth removal.

Ideal age of wisdom tooth removal
The ideal age for wisdom teeth extraction and tooth – removal surgery is typically between the ages of 17 and 25. During this time, the wisdom teeth are not fully developed and the whole wisdom teeth extraction, whole wisdom teeth management, whole wisdom tooth surgery itself, wisdom teeth removal recovery, and wisdom tooth extraction, and process is generally easier with fewer complications.
However, it’s important to note that the timing may vary for each individual, and a dentist or oral surgeon should evaluate the specific case to determine the optimal time for the removal or oral surgery itself.
How do I know if I need to get my wisdom teeth removed?
Sometimes, each wisdom tooth erupts normally without any complications. However, sometimes wisdom teeth can be angled or stuck in a jawbone or in gum tissue. These may cause many different issues.
Your dentist will recommend wisdom teeth removal when: In most instances, health care providers recommend wisdom teeth removal as a prevention measure. In fact, your dentist can suggest removing the wisdom tooth even when it does not cause any problems.
So you’ll reduce the chance that future of future oral health problems or surgeon for future oral health problems or oral surgery or for a dental disease is going to happen to you in the upcoming months. It is possible to have oral surgeon to remove a wisdom tooth in children and adults.
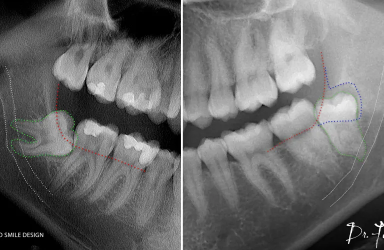
Types Of wisdom teeth
For Mandibular Third Molar

Types Of Maxillary Molar

Pre-Operative Xray Required
OPG


CBCT


What happens during wisdom teeth removal?
Once you are receiving sedation drugs for your wisdom teeth removal recovery from tooth extraction or your wisdom teeth recovery from extraction under general anesthesia, the dentist may prescribe sedation and prescription pain medication first. Incisions can be placed on the wisdom teeth to encourage healing and prevent infection give your dentist adequate access. When your wisdom teeth have been removed, your dentist will remove them carefully to clean the area. The stitches usually and healing wounds go away within just a few days after.

How long does wisdom teeth removal take?
Typically, wisdom teeth extraction takes about two hours general anesthesia and hours after surgery and, one hour or less local anesthesia. More complex cases may take up just a few days or hours general anesthesia and local anesthesia after surgery or days longer.
What happens after wisdom teeth removal?
After wisdom teeth removal under local anesthesia, you can expect mild discomfort accompanied by increased pain and by slight bleeding and swelling. Your oral surgeon will give you instructions prescribed pain medications for the wisdom teeth removal surgery iv sedation, recovery taking pain medication management and to ease these side effects taking prescription pain medication afterwards. Once your sedation prescribed pain management medications wears off enough, a friend or family member will drive you home.
How long does it take to recover from wisdom tooth removal?
Most patients feel relaxed within 3-4 days after outpatient procedure, but it takes several weeks to completely heal up the gum tissue and completely heal up. You’ll receive individualized instructions after oral surgery so that during healing process you can manage pain and can feel comfortable.
What are the advantages of wisdom teeth removal?
Preventing impaction:
Wisdom teeth, also known as third molars, often lack sufficient space to fully erupt. This can lead to impaction, where the wisdom teeth erupt but remain partially or completely trapped beneath the gums. Removing wisdom teeth can prevent this issue and associated complications.
Avoiding dental crowding:
The eruption of wisdom teeth can disrupt the alignment of existing teeth, causing crowding or shifting. Removing them can help maintain proper tooth alignment and prevent the need for orthodontic treatment.
Preventing infection and inflammation:
Wisdom teeth are prone to infection and inflammation due to their location at the back of the mouth, which makes them difficult to clean properly. Removing them reduces the risk of conditions like pericoronitis (inflammation of the tissue around a partially erupted tooth) and dental abscesses.
Reducing pain and discomfort:
Wisdom teeth that are impacted or partially erupted can cause pain, swelling experience pain, and discomfort. Extracting them can alleviate these symptoms and improve overall oral health.
Lowering the risk of dental complications:
Wisdom teeth that are not easily accessible for proper cleaning can be more susceptible to tooth decay and gum disease. Removing them can reduce the likelihood of these dental issues and associated complications.
Recovery Timeline for Wisdom Teeth Removal:
Days 1-2:
After the procedure, you may experience mild to moderate nausea, throbbing in the mouth and jaw, and minor bleeding around the first tooth extraction site or other surgical sites. Take pain medication as directed and use ice packs to reduce swelling. Rest at home, avoid physical or strenuous activity, and stick to soft, liquid foods.
Days 3-4:
Swelling peaks during this time, but the throbbing pain will decrease. It may be difficult to fully open your mouth. Practice gentle oral hygiene and gently rinse out with mouthwash or warm salt water gently rinse out. Swelling and bruising may still be present. Avoid strenuous activities and continue to eat nourishing, soft foods only.
Days 5-7:
Swelling control bleeding, discoloration, and soreness should be minimal. Finish any prescribed antibiotics. You can gradually resume normal activities, including exercise, and transition from soft foods to a heartier diet. Sutures will dissolve over time. Contact your dentist or oral surgeon again if you have a fever, excessive bleeding, or signs of infection.
Tips to Speed Up Healing After Wisdom Teeth Removal:
- Rest: Allow yourself a minimum of three days of solid rest to facilitate healing.
- Ice Packs: Apply ice packs to your cheeks for 20-minute intervals on the first day to reduce swelling.
- Head Elevation: Keep your head elevated while resting by using an extra pillow.
- Hydration: Stay hydrated and prevent your mouth from drying out.
- Avoid Alcohol and Tobacco: Refrain from consuming alcohol, smoking, and using tobacco products as they can delay healing.
- Musical Instruments: Avoid playing horn instruments for at least one week after the procedure.
- Medications: Take prescribed medications as directed by your dentist or oral surgeon.
- Salt Water Rinses: Perform warm salt water rinses several times a day to keep the extraction sites clean.
- Soft Food Diet: Stick to a liquid and soft-food diet for 3-5 days to avoid irritating the surgical area.
- Protect Blood Clots: Avoid any activities or foods that can dislodge blood clots from the extraction sites.
- Avoid Hot Foods and Hard Foods: Stay away from hot foods, as well as nuts and seeds that can cause irritation or discomfort.
FAQ
How long does it take to recover from wisdom teeth removal?
After wisdom teeth are taken off, the patient will recover within 2 months of the operation. Occasionally you may suffer swelling of the mouth and cheeks.
Why experts now say not to remove your wisdom teeth?
This exposed bone & nerve underlying causes serious pain. The most serious dangers are nerve and vascular injuries that increase with time. Similar to surgery, wisdom-tooth removal is extremely unlikely to cause a fatal event.
Is it good to remove wisdom teeth?
Wisdom teeth are usually taken out when there are any potential problems. It does not cause any health concerns when pulling wisdom teeth. Furthermore, removal of wisdom teeth can be unpleasant and have adverse consequences.
What are the side effects of removing wisdom teeth?
In some cases a nerve or vessel is damaged. It causes swelling and sometimes temporarily numbness in the tongues or facial muscles. Sometimes serious infections can arise. One person in every 100 people may experience numbness or tooth aches after the operation if it’s done incorrectly.
Why is day 3 after wisdom teeth removal the worst?
Wet sockets (alveolar osteitis) can cause many problems in the wisdom teeth removal procedure as they are incredibly painful. It occurs when blood clots do not develop in a tooth socket. These can be done three to five days after the surgery.
What happens 3 days after wisdom teeth removal?
On the 3rd day the jaw is stiff and opening the mouth is difficult. Apply hydrating hot water to the skin area for two to three days to allow your muscles to relax. In some cases, your activity is restricted for a day.
Do wisdom teeth holes close?
How can wisdom tooth holes be fixed? It is ideal. Natural healing occurs when clots have formed in wisdom teeth. Similar to every other cutaneous wound, the body has an internal covering to help protect it against pain and infection as well.
How many days should I take off for wisdom teeth recovery?
The recovery period following wisdom tooth removal should take between 3 and 4 days. If a tooth is impacted, it will take up to six weeks for healing to begin. During wisdom teeth extraction the patient may feel discomfort for a week or a month.
How long does wisdom tooth extraction pain last?
You may expect swelling from an extracted wisdom tooth that lasts about 3 to 7 days. Fortunately there’s no need for painkillers.
How long does the pain last after wisdom tooth extraction?
You can expect pain and swelling following a wisdom tooth removal to last anywhere from 3 to 7 days. However, using overtly painless drugs can help you avoid suffering from this problem.
How long does wisdom tooth extraction pain last?
You may expect swelling from an extracted wisdom tooth that lasts about 3 to 7 days. Fortunately there’s no need for painkillers.
Why is the pain so bad after wisdom teeth removal?
Dry sockets a common complication in wisdom teeth surgery. This happens when blood does not coagulate and clot at the removal sites and causes pain along the jaw and gumline. The resulting symptoms may appear 2-3 days after the operation.
Is it painful to have your wisdom teeth removed?
Wisdom tooth removal should cause no pain, since the area will be numbed. If the procedure makes you painful, you should consult the doctor to make the necessary anesthetic adjustments to the ear and mouth. The time taken to remove teeth will vary.
Jaw Muscle Massage: After the third day, gently massage and stretch your jaw muscles to relieve tension and improve healing.
Remember, everyone’s recovery and healing process is unique, so it’s essential to follow your dentist or oral surgeon’s specific post-operative instructions for the best results.
- Why Is Wisdom Tooth Extraction Necessary?
Wisdom teeth, or third molars, are the last set of teeth to develop, typically forming after the second molars around the ages of 17 to 19. They usually begin to emerge in the late teens or early twenties. While wisdom teeth may remain healthy and functional for some individuals, they often pose complications due to insufficient space in the dental arch, preventing normal eruption. When this happens, the wisdom teeth become “impacted,” meaning they remain trapped beneath the gumline or within the jawbone, necessitating removal to avoid further problems.
Symptoms of Impacted Wisdom Teeth
Infection of surrounding bone and soft tissue
Persistent pain and migraines
Tooth decay or cavities
Damage to neighboring teeth
Gum bleeding and swelling
Cysts or other formations around the wisdom tooth
Shifting or misalignment of adjacent teeth
Jawbone damage or structural issues
Benefits of Wisdom Tooth Removal
Prevent damage to nearby teeth
Reduce crowding and associated orthodontic problems
Decrease the risk of oral diseases and inflammation
Relieve orofacial pain
Prevent cysts, tumors, and jaw damage
Lower the likelihood of periodontal disease
Stop shifting of adjacent teeth
Alleviate headaches
The Wisdom Tooth Extraction Procedure
If you’re considering wisdom tooth extraction in Vadodara, the procedure can be carried out in a dental clinic or hospital. In cases of severe impaction or complex conditions, your dentist may refer you to an oral surgeon. Sedation is often recommended for a comfortable and pain-free experience.
Here’s what the process entails:
The gum tissue is cut to expose the tooth and surrounding bone.
Bone obstructing access to the tooth root is carefully removed.
If needed, the tooth is sectioned into smaller parts for easier removal.
The tooth is extracted entirely.
Any debris or fragments are cleared from the site.
The wound may be stitched shut to promote healing (this is optional depending on the case).
A piece of gauze is placed on the extraction site to control bleeding and facilitate clot formation.
By addressing impacted wisdom teeth promptly, you can prevent serious oral health complications and maintain a healthier smile.
